Унікальний для Івано-Франківської обласної дитячої клінічної лікарні випадок: в хірургічне відділення поступив 17-річний хлопець зі скаргами на виражену задишку, біль за грудиною і загальну слабість.
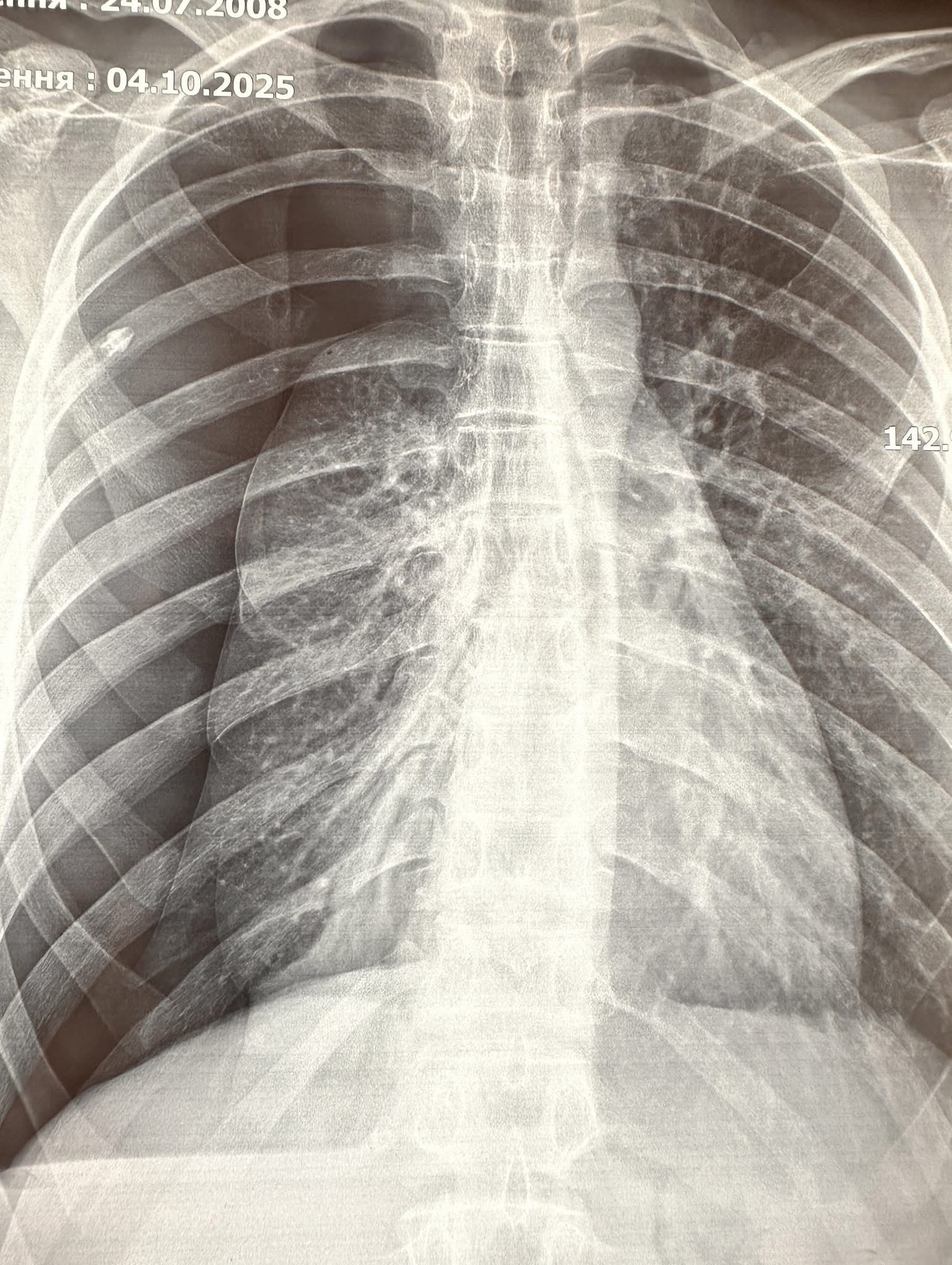
При обстеженні встановлено попередній діагноз – спонтанний пневмоторакс справа.
Проведено дренування плевральної порожнини, але в динаміці ефекту в лікуванні не було. При дообстеженні встановлено діагноз – бульозна хвороба правої легені, правобічний пневмоторакс.
Після цього вперше в ОДКЛ проведено малоінвазивну операцію – торакоскопічну резекцію ураженого сегменту правої легені.
Оперативне втручання проведено командою у складі хірурга Орест Борис, хірурга І ТМО м. Львів Андрія Дворакевича, та анестезіолога Андріана Гончар.
Завдяки злагодженій роботі анестезіологічного і хірургічного відділень на 10 добу в задовільному стані пацієнта виписано додому, – пише генеральний директор лікарні Тарас Мельник.


Категорії
Здоров'я


